10:57 30 мая 2025
В Воронеже врачи спасли 87-летнюю женщину после тяжёлого инсульта
Пациентка провела два дня в коме, но благодаря усилиям медиков БСМП №1 смогла восстановиться
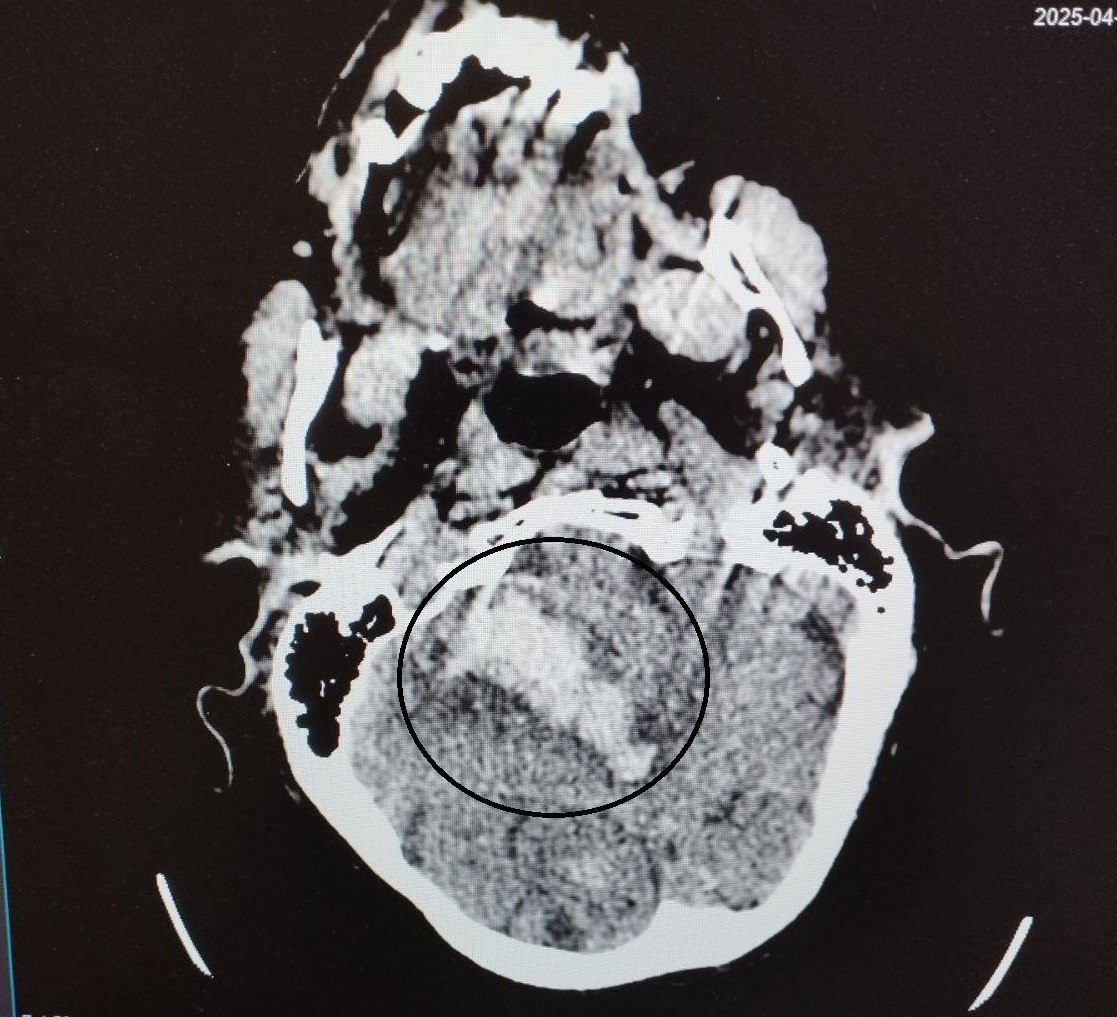
Оперативно оказанная медицинская помощь помогла спасти жизнь 87-летней пациентке, поступившей в апреле в первичное неврологическое отделение БСМП №1 в Воронеже в крайне тяжёлом состоянии. Как сообщили в департаменте здравоохранения Воронежской области, у женщины диагностировали геморрагический инсульт правого полушария мозжечка, осложнённый внутримозговой гематомой, кровоизлиянием в желудочковую систему мозга и стволовые структуры.
Первые двое суток пациентка находилась в состоянии комы. Прогнозы были крайне неблагоприятными. Однако врачи провели несколько консилиумов и составили индивидуальную терапевтическую стратегию. Пациентке назначили интенсивную противоотёчную, инфузионную, нейропротекторную и антиоксидантную терапию с постоянным мониторингом состояния.
Уже через 15 дней после начала лечения женщину выписали домой с заметным улучшением: она могла самостоятельно садиться и с посторонней помощью передвигаться по палате.
Как уточнили в региональном Минздраве, в лечении участвовали заведующий отделением Илья Сазонов, лечащий врач Юрий Лавров, а также специалисты мультидисциплинарной команды — логопед Татьяна Лаврова, психолог Светлана Канышева и инструктор-методист ЛФК Наталья Бушина. Командная работа и комплексный подход стали ключевыми в спасении пациентки.
В распоряжении медиков имеются томограммы, на которых зафиксированы обширные внутримозговые гематомы и кровоизлияния в области мозжечка и желудочковой системы мозга.

На фото – томогораммы, на которых видны внутримозговые гематомы в области правого полушария мозжечка, в стволе головного мозга, кровоизлияния в желудочковую систему мозга.